2025/10/03
助けてください!!

今回は他院で最近治療したセラミック治療の再治療です。
患者さんは30代の女性です。
初診時はセカンドオピニオンが希望でした。
まずは事情を聞かせてもらうつもりで挨拶したところ、
「とにかく歯茎と前歯が変なので診てください!」ということで先に口の中を診ました。

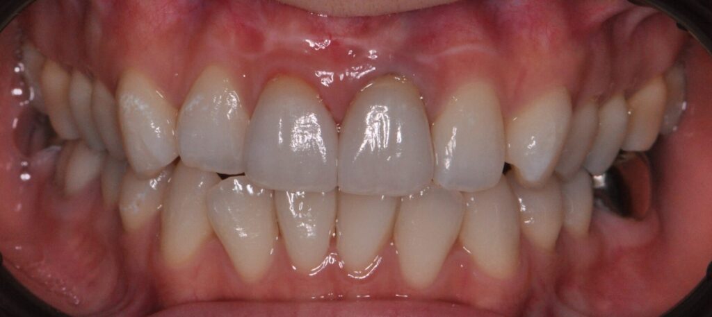
術前
話を聞くと、1ヶ月ほど前に向かって右の前歯のセラミック治療したが、その後歯根の先を切る手術をしたら歯茎が痩せて(歯肉退縮)その結果歯茎の部分が黒くなってきたとのことでした。
※ 歯根の先を切る手術を歯根端切除と言い、歯根の先に大きな病巣がある場合や炎症がある場合にそれらを取り除くために行う手術です。
それを治すためレーザー治療で通院していると・・・
???
レーザーで治療?
私もレーザー治療を行いますがここまで退縮した歯肉をレーザーで治せるとは聞いたことがなかったので、
レーザーでは期待してるほど改善しないと思うので、もう一度その先生と治療方針を相談したほうが良いですよ。
と伝えました。
2週間後
再来院した患者さんはセラミックと黒くなっている歯茎を治してください、助けてください!と
一旦、セラミックを外し仮歯に付け替えました。
退縮した歯茎は戻らないため、反対側の前歯の歯肉形成(歯肉の形を整える処置)をすることで歯茎の位置を合わせました。
歯茎が落ち着いたところで、再度セラミックを被せ直しました。

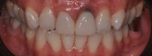
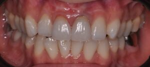
術後
治療法 セラミック治療 歯肉形成
治療期間 1ヶ月半
治療費 仮歯1本 2,200円(税込)
オールセラミック1本 143,000円(税込)
歯肉形成1カ所 5,500円(税込)
合計 150,700円(税込)
黒かった歯茎はセラミックを歯茎の奥まで被せることで、
黒ずんだ歯根を被せることで概ね消すことができました。
初診時に泣きそうな顔で相談に来ていた患者さんが、治療が進むにつれ明るくなっていき
セラミックを被せた日には
満面の笑みで喜んでもらえたのが印象的でした。
とても良かったとです。
コラムでたびたび伝えていますが、審美治療の経験が少ない歯医者に任せると今回の様なトラブルになることが多いです。
治療を受ける際は、担当する歯医者と十分に相談を重ねて治療を進めていくことをおすすめします。
少しでも「??」、「不安」と感じたら率直に質問するようにしてください。
でも・・・
多くの患者さんは先生にそんな時間や余裕が無く質問することを遠慮した結果、今回のような事態になったということを聞きます。
そのような雰囲気の歯医者で治療を受けると最後に後悔するのは治療を受けた自分だと知っておいてください。
前の記事 : ボロボロの歯でも大丈夫です。
次の記事 : 予防治療の重要性



