心外な名医

こんな記事を見つけました
背中や腰、膝の痛みがあり、自宅から近い総合病院を受診した。
名医と評判の、その病院の整形外科医は「80歳じゃないか。医師は患者を選べるんだ」などと言い、次回は院内の別の医師を受診するよう指示された。その日は、レントゲンを10枚以上撮ったが、「膝の手術は必要ない」というだけだった。
腰も随分曲がり、最寄り駅まで歩く時間も以前の倍以上かかる。私は80歳であろうと、悪い部分があれば治療をして、自分で歩いて頑張りたいと思っている。医師の言葉は心外だった。
(記事抜粋、一部は省略)
セカンドオピニオン
私も年に数件は同じ様な話をききます。
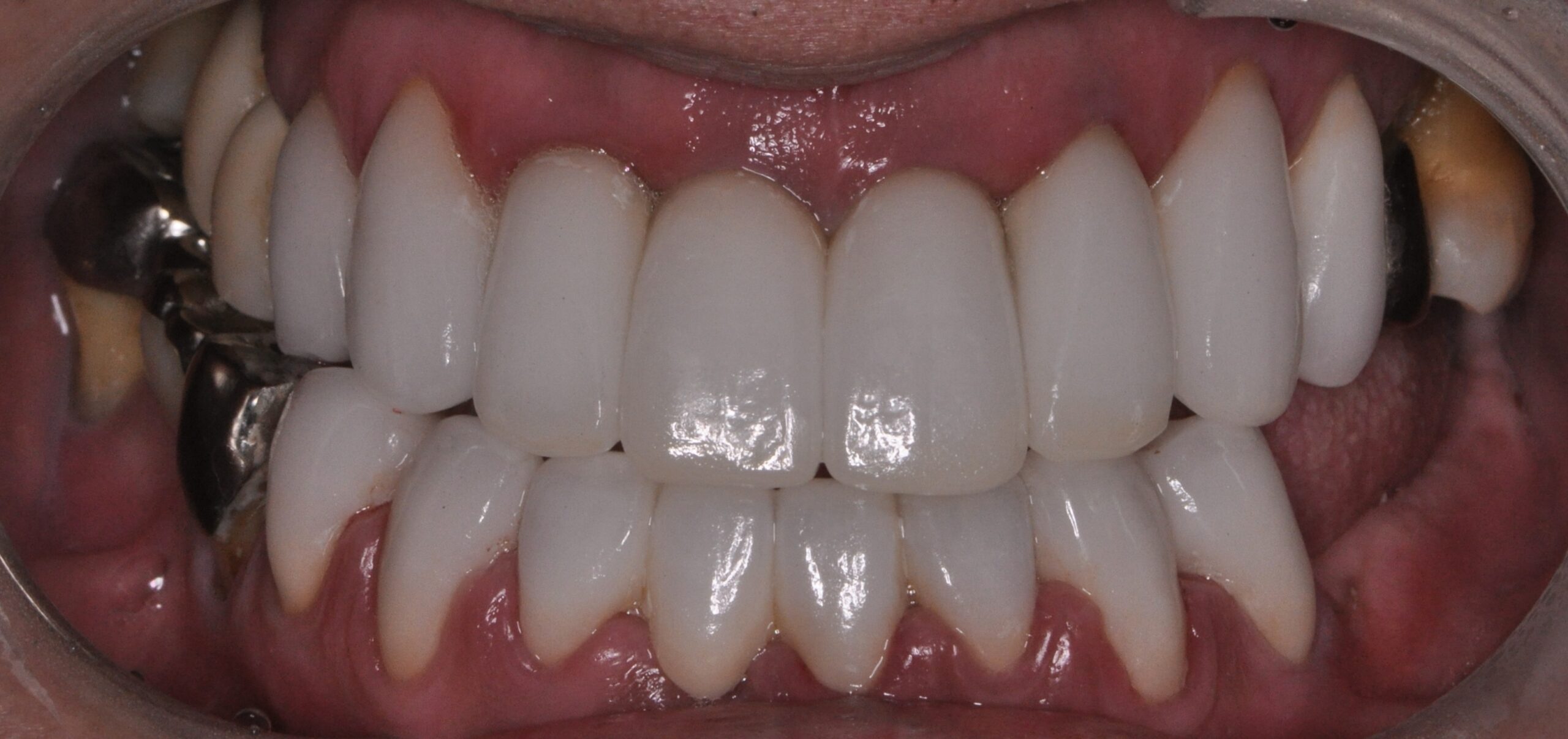
先日も審美治療で有名な女医のところで治療したが、気に入らないとのことで当院を受診した患者さんがいます。
その医院での治療部位を見てみると、内心「ひどい」と思える治療がしてありました。
審美治療として「ひどい」「見栄えが悪い」と言う意味です。
その患者さんが言うには、セラミックを着ける時に何度か「これで完成ですか?」「キレイな仕上がりだと先生も思いますか?」など、遠回しに自分が納得してない旨を伝えても、先生は「とても良い仕上がりですよ」「キレイになりましたよ」と言うだけだったようです。終いには、「大丈夫、大丈夫」と言ってセラミックを着けたと言います。
その患者さんはいくら患者が言っても聞く耳のない先生には意味がないと、あきらめて転院したようです。
患者さんは信頼しているのに・・・
私から見ると、明らかに審美治療の実力が無い先生の代表的な対応だと感じました。
逆に、傷ついて私を頼って来た患者さんに、歯医者の信頼を取り戻すにはどうすれば良いかと考えさせられます。
良くあることですが、評判の先生や有名な先生が名医とは限りません。
自分の身は自分で守るしか方法はありませんので、第一印象や第二印象で違和感を感じた場合は、セカンドオピニオンをうけることをお勧めします。
前の記事 : やってはいけない歯科治療 第3弾
次の記事 : ホワイトニング



